一、卵巢上皮性肿瘤《病理学》

一、卵巢上皮性肿瘤

卵巢上皮性肿是最常见的卵巢肿,来源于卵巢表面的上皮(体腔上皮),最常见的是囊腺,主要包括浆液性和粘液性两种。

(一)浆液性肿

1.良性浆液性囊腺(serous cystadenoma)是浆液性肿中最常见的一种,约占浆液性肿的60%,多发生于20~40岁妇女,以单侧居多,也可双侧发生(约占20%)。

【病变】

肉眼观,多为圆形或卵圆形囊肿,囊内充满稀薄、清亮的浆液,体积大小不一,小者直径仅数厘米,大者可达儿头大或更大,表面光滑,多为单房性,少数可为多房性。囊内壁光滑为单纯性浆液性囊腺;部分伴有乳头状突起,称为乳头状浆液性囊腺(图13-15)。镜下,囊壁和乳头间质均由含血管的纤维结缔组织构成,被覆上皮呈单层低立方状、柱状、纤毛柱状或钉状,核多位于中央,染色质纤细,核仁缺如或不明显,无病理性核分裂像(图13-16)。有时在囊壁和乳头间质内可见圆形钙化小体(沙粒体)。

卵巢乳头状浆液性囊腺<a href=瘤"/>

图13-15 卵巢乳头状浆液性囊腺

为单房性,囊壁内面及外表面(右侧)有乳头状肿块形成

卵巢乳头状浆液性囊腺<a href=瘤"/>

图13-16 卵巢乳头状浆液性囊腺

被覆囊壁的细胞呈立方形,且呈乳头状生长,突向囊腔

2.交界性浆液性囊腺(borderline serous cystadenoma)约占浆液性肿的10%,其形态结构介于良、恶性浆液性囊腺之间,属低度恶性,预后比浸润为好。

【病变】

肉眼观,与良性浆液性乳头状囊腺相似,但乳头状突起往往比良性者丰富而广泛,常布满整个囊内表面,双侧发生率较高。镜下,主要表现为乳头上皮呈2~3层,乳头分支较稠密或有微乳头状突起,核异型和核分裂像易见(每高倍视野不超过1~2个),无间质浸润。

3.浆液性囊腺(serous cystadenocarcinoma),约占浆液性肿的30%,为卵巢恶性肿中最常见的类型,约半数为双侧性。患者以40~60岁妇女为最多。

【病理变化】

肉眼观,多数为多囊性,部分或大部囊内或囊外有乳头状突起,囊内多含混浊液体,乳头状物多为实性菜花状,常侵犯包膜并有出血坏死。镜下,乳头分支多或呈实心团块,上皮细胞增生多呈3层以上,细胞有明显异型性,核分裂像常见,包膜和间质均有浸润,沙粒体较多见。根据乳头状结构的分化程度可将其分为高分化、中分化和低分化3型:①高分化型(图13-17),多数乳头覆以不典型上皮,呈假复层,有一定的纤细间质;②中分化型,乳头结构仍可见,上皮细胞分化不良,呈多层,核分裂像增多;③低分化型,乳头很少,细胞呈实心片块或条索,偶尔形成腺样结构,细胞有明显异型性,包膜和间质浸润明显。

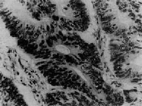
卵巢乳头状浆液性囊腺<a href=癌"/>

图13-17 卵巢乳头状浆液性囊腺

呈细乳头状结构,细胞多层,异型明显,乳头间质稀少

【转移】

有外生乳头的良性及交界性肿都可以有盆腔或腹腔腹膜的种植。交界性的种植转移更多见。多数浆液性囊腺在就诊时已有转移,转移部位为腹腔、盆腔浆膜层,一部分病例可发生淋巴结转移,包括盆腔、肠系膜淋巴结及锁骨上淋巴结等,极少数有远处转移,如肝、肺等。

(二)粘液性肿

1.粘液性囊腺(mucinous cystadenoma)是上皮性肿中较常见的一种肿。主要来源于卵巢表面上皮,向宫颈内膜上皮分化;另一来源是良性囊性畸胎的单胚叶生长,其上皮和肠上皮相似,并可见杯状细胞。多发生于30~50岁妇女,多数为单侧,很少为双侧。

【病理变化】

肉眼观,囊性肿块大小不一,一般直径15~30cm,甚至50cm以上,小者直径仅1cm。圆或卵圆形,表面光滑,常为多房性,内含浓稠粘液。囊内壁光滑,很少有乳头。镜下上皮为单层高柱状粘液上皮,胞浆含清亮粘液,核位于基底部(图13-18),大小形状比较一致,染色质纤细,无明显核仁,亦无核分裂像。间质为纤维结缔组织。

卵巢粘液性囊腺<a href=瘤"/>

图13-18 卵巢粘液性囊腺

组织腺体扩大成囊,被覆囊壁的细胞呈高柱状,核位于基底部,胞浆含大量粘液,(图中呈浅色透亮状)

2.交界性粘液性囊腺(borderline mucinous cystadenoma)亦为低度恶性,形态结构介于良、恶性粘液性囊腺之间。五年存活率为95%~98%。

【病理变化】

肉眼观与良性粘液性囊腺无明显区别,但半数病例囊内壁可见乳头和包膜增厚,乳头或为简单分支,但多为生长活跃有复杂纤细分支的乳头。镜下,上皮高柱状,增生成2~3层,并失去极向,有轻或中度异型性,核分裂像可见。间质少,但无间质浸润。

良性及交界性粘液性囊腺偶尔可自行穿破,使粘液性上皮种植在腹膜上继续生长并分泌粘液,形成腹膜假粘液(pseudomyxoma peritonei)。

3.粘液性囊腺(mucinous cystadenocarcinoma),大部分患者年龄在40~60岁。

【病变】

肉眼观,肿体积常较大,囊性或囊实性,表面光滑,常与周围器官粘连。20%为双侧性。多为多房性伴有实性区域,实性区为灰白色或质松脆的乳头状物,常伴出血坏死。囊内含有粘血性混浊液体。镜下,腺体密集,形状不规则,腺体上皮多超过3层,上皮细胞明显异型性,核仁明显,病理核分裂像易见。间质较少,可见包膜及间质浸润。根据上皮的分化程度可分为高分化、中分化和低分化3型:①高分化型,多数呈腺样结构,上皮高柱状,排列成3~4层以上(图13-19),含较多粘液,常有小乳头,可见一些核分裂像;②中分化型,腺体不规则,间质少,上皮异型性,排列乱,多层,核分裂像增多;③低分化型,腺样结构大部消失,上皮细胞分化差,核异型性明显,有多数核分裂像,常发生出血坏死,偶见粘液上皮。

卵巢粘液性囊腺<a href=癌"/>

图13-19 卵巢粘液性囊腺

呈腺样结构,细胞高柱状,多层,异型性明显,核分裂像易见,仅少量粘液空泡形成

【扩散与转移】

卵巢粘液性囊腺可直接蔓延至阔韧带、输卵管和子宫,包膜浸润的细胞也可向腹腔内脱落或沿淋巴管扩散而转移,转移部位以盆腔、腹腔腹膜及各器官浆膜层为主,还包括大网膜、阑尾及对侧卵巢等。粘液性囊腺的5年存活率为46%~70%。

上一页:第六节 卵巢肿瘤
当前页:一、卵巢上皮性肿瘤
下一页:二、卵巢性腺间质肿瘤

返回目录